



ü³»ÀÇ ¼¼Æ÷¸¦ ºÐ¿½ÃÄÑ ¼ºÀåÀ» ÃËÁøÇÏ´Â ¹°Áú·Î ÇǺΠ³ëÈ ¹æÁö¿¡ ÀÖ¾î¼ ÇÙ½ÉÀûÀÎ ¿ä¼ÒÀÔ´Ï´Ù.
¾Æ±âÁÖ»ç´Â ¼ºÀåÀÎÀÚ¸¦ Áֻ縦 ÅëÇØ Á÷Á¢ ü³»¿¡ ÅõÀÔ½ÃÅ´À¸·Î½á ¼ºÀåÀÎÀÚÀÇ °¨¼Ò·Î ÀÎÇÑ ÇǺγëȸ¦ ¸·¾ÆÁÝ´Ï´Ù.
¾Æ±âÁֻ縦 ÅëÇØ ü³»¿¡ ħÅõµÈ ¼ºÀåÀÎÀÚ´Â ¹Ù¸£´Â °Í º¸´Ù ¾à 200¹è °¡·® È¿°ú°¡ ¶Ù¾î³ª±â ¶§¹®¿¡ º¸´Ù È®½ÇÇÑ ³ëÈ¿¹¹æÀÌ °¡´ÉÇÕ´Ï´Ù.
¾Æ±âÁÖ»çÀÇ ¼ººÐÀ» »ìÆìº¸¸é ¼ºÀåÀÎÀÚ»Ó ¾Æ´Ï¶ó Áٱ⼼Æ÷ ¹è¾ç¾×°ú ÆéŸÀÌµå µî ÁÖ¸§°³¼±°ú ÇǺÎÀç»ýÀÇ È¿°úÀûÀÎ ´Ù¾çÇÑ ¼ººÐµéÀÌ µé¾îÀÖ½À´Ï´Ù.

DERMAL THICKNESS

H&E Stain ¹æ¹ý¿¡ ÀÇÇÑ ÇǺΠµÎ²² ÃøÁ¤ ½ÃÇè°á°ú Áٱ⼼Æ÷¸¦ ÁÖÀÔÇÑ ½ÇÇ豺ÀÌ ´ëÁ¶±º¿¡ ºñÇØ ÁøÇÇÁ¶Á÷ µÎ²²°¡ Áõ°¡ÇÏ¿´½À´Ï´Ù.
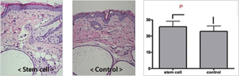
COLLAGEN DENSITY

Mason-trichrome Stain ¹æ¹ý¿¡ ÀÇÇÑ ±³¿ø ¼¶À¯Áú ¹Ðµµ ÃøÁ¤ ½ÇÇè°á°ú Áٱ⼼Æ÷¸¦ ÁÖÀÔÇÑ ½ÇÇ豺ÀÌ ´ëÁ¶±º¿¡ ºñÇØ ±³¿ø¼¶À¯ÁúÀÇ ¹Ðµµ°¡ ³ô¾ÆÁüÀ» È®ÀÎ ÇÒ ¼ö ÀÖ½À´Ï´Ù.

140°³ÀÇ ¹Ì¼¼¹Ù´Ã(micro-needles)ÀÌ ´Þ·ÁÀÖ´Â ½ºÅÆÇÁ ÇüÅÂÀÇ ÀÇ·á±â±â·Î ½ºÅÆÇÎÀÚüÀÇ È¿°ú(¹Ì¼¼ÇÑ »óó¸¦ Ä¡À¯ÇÏ´Â °úÁ¤¿¡¼ Äݶó°Õ°ú ¿¤¶ó½ºÆ¾ÀÇ »ý¼ºÀ» À¯µµÇÏ°í ¼ºÀåÀÎÀÚÀÇ ºÐºñ¸¦ ÃËÁø)¿Í ÇÔ²² ¾àǰ, ÈÀåǰ µîÀÇ ÇǺΠÈí¼öÀ²À» ³ô¿©ÁÖ´Â ¹Ì¼¼È¦À» ¸¸µå´Â ÀÇ·á±â±âÀÔ´Ï´Ù.


³ëÈ·Î ÀÎÇØ ÇǺΠź·ÂÀÌ ¶³¾îÁö´Â ºÐµé
ĢĢÇÑ ÇǺÎÅæ ¶§¹®¿¡ ¾ó±¼¿¡ »ý±â¸¦ ÀÒÀº ºÐµé
³ëȸ¦ ¹Ì¸® ¿¹¹æÇÏ°í ½ÍÀ¸½Å ºÐµé
¾ó±¼ ¸ð°ø Ãà¼Ò¸¦ ¿øÇϽô ºÐµé
¿©µå¸§ ÈäÅ͸¦ °³¼±ÇÏ°í ½ÍÀ¸½Å ºÐµé



½Ã¼úÁ÷ÈÄ ¹Ì¼¼ÇÑ È«Á¶¿Í º×±â°¡ ¹ß»ýÇϸç 1~2ÀÏ ¾È¿¡ °¡¶ó¾É½À´Ï´Ù.
½Ã¼úÀº ½ºÅÆÇÁ Çü½ÄÀÇ ÀÇ·á±â±â¸¦ ÀÌ¿ëÇϱ⠶§¹®¿¡ ¸¶Ãë Å©¸²À» 30ºÐ Á¤µµ ¹Ù¸¨´Ï´Ù.
½Ã¼ú½Ã°£Àº 20~30ºÐ Á¤µµ·Î ºñ±³Àû °£´ÜÇÕ´Ï´Ù.

